APP下載
活動
爆料
圖輯
AI爆報
追蹤新聞
3
台灣彩券開獎直播中
三立iNEWS新聞台線上直播
LIVE三立+24小時直播
即時
青森7.5強震
小紅書遭封鎖
新聞
熱門
政治
社會
娛樂
生活
新奇
健康
國際
兩岸
運動
財經
房產
旅遊
科技
汽車
遊戲
ESG
影音
總覽
政論
節目
熱搜
直播
iNEWS
專題
總覽
特企
專頁
大事件
彩券
專欄
民調
快訊
9縣市今停水「一早沒得用」 最長停9小時
07:14
16歲朱宥丞奪金鐘 她獲封「SSR級新人」
07:13
演《影后》爆紅 林廷憶進軍日本合作他
07:10
肺腺癌四期不退縮 柯煒林:我不是病人
07:07
澳洲禁16歲以下用社媒 各國相關規範一覽
07:07
中共挑釁日本1目的破功 他揭下場尷尬了
07:06
登山獨留校長…他4天後成屍!領隊列被告
07:04
林廷憶親密互動經紀人 大街摟腰靠肩被拍
07:03
柯煒林行程滿檔不喊累 媽媽應援愛的抱抱
07:00
林廷憶爆「穩交」 同居人貼心忙進忙出
06:57
稱開戰可上班課遭圍剿!苗博雅深夜反擊了
06:53
被控黑幫宴洩機密…刑大代理副隊長遭聲押
06:52
明星收入亮眼卻不付錢 她們曾捲賒帳爭議
06:51
男星砸千萬拍電影 正妹女兒當主角票房曝
06:46
經歷鄭人碩離婚背小三罵名 小薰高EQ回應
06:44
輝達回檔美光撐盤 日韓股市漲跌互見!
06:42
小薰美齒換療程變賒帳 牙醫直指爭議核心
06:39
鄭人碩捲女友欠款爭議 昔狂掃A貨包被挖
06:39
今短暫回溫 首波冷氣團平地挑戰10℃↓
06:38
1天內2浮屍!晨泳翁溺斃、落水婦身分待查
06:38
台灣彩券開獎直播中
20:31
運動咖必備!sNug打造真正有感科技羊絨襪
10:30
北市打造全齡友善職場 推動中高齡就業
20:00
蔣萬安市長現身青山宮嗨唱 超夜點亮萬華
14:00
期交所推出個股週選擇權 避險策略再升級
10:00
菸捐長期凍漲 造就全球最廉價的健康殺手
08:00
演員張世賢多年後重返房仲業開啟斜槓人生
14:00
「疲勞」元凶曝光 竟與微量元素有關
12:00
首頁
關鍵字
智齒
智齒
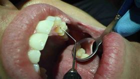
智齒要不要拔?牙醫師提供4關鍵一次解惑
智齒究竟要拔或不拔,說法總是眾說紛紜,有些人覺得要趁...
2025/12/04 10:12
她拔智齒「舌根被縫牙齦上」 醫1原因拒賠
許多人都有拔牙的經驗,不過近日就有一名女子,在醫院拔...
2025/06/05 21:30
正妹拔錯牙被醫生塞回去 痛到墜樓慘死
俗語說:「牙痛不是病,痛起來要人命!」那種疼痛只有過...
2025/03/22 20:52
只是拔智齒整個下巴被移除 釀禍原因曝光
義大利羅馬近期發生一起醫療事故,一名35歲男子因為智...
2025/02/22 18:03
女全身麻醉拔智齒 高燒飆42度不幸身亡
新加坡一名卓姓女子為了拔除4顆智齒,選擇以全身麻醉的...
2025/02/02 08:00
20歲空手道正妹「臉腫2倍大」!粉絲笑翻
日本武術正妹安井南年僅20歲,是空手道黑帶和劍道高手...
2025/01/21 10:48
吃東西卡渣!小心「4大牙齒危機」找上身
每次吃東西,牙齒總是會卡菜渣,用舌頭推也弄不掉,真是...
2024/09/26 15:10
牙齒卡菜渣「藏4警訊」 醫:要抽神經了
「食物卡牙縫」用舌頭頂也剃不掉的討厭感受,是許多人飯...
2024/09/17 10:15
水平智齒不處理恐釀禍! 「3狀況」須就醫
原本一口排列整齊的「微笑曲線」,卻因為智齒的出現都亂...
2024/07/30 14:30
專家曝「智齒」3大真相!嚴重後果會致命
「牙痛不是病,痛起來要人命」,尤其是位在上下牙弓最末...
2024/07/29 14:35
32歲男看牙醫爆哭 櫃台小姐送小禮物安撫
你也有看牙恐懼症嗎?看牙醫對許多人而言是從小到大的惡...
2024/07/12 22:55
32歲男看牙大哭!櫃台小姐暖遞1物網笑爆
不論年紀大小,許多民眾對於看牙醫這件事相當懼怕,但為...
2024/07/12 09:42
她拔智齒細菌感染 4個月暴瘦到27kg離世
不少人都有拔智齒的經驗,由於智齒位於最深處,很常沒刷...
2024/05/18 15:51
正妹拔歪斜智齒竟暴瘦27公斤 1周就病逝
拔牙竟然拔到送命!印尼一名婦女在拔除智齒後,喉嚨疼痛...
2024/05/14 13:16
大麻風波收入百萬剩10萬 蕾拉暴瘦慘況曝
「反骨男孩」成員同時也是YouTuber的蕾菈,雖然...
2024/04/20 16:20
工程師拔智齒暈倒腦出血 開顱2週後死了
中國媒體報導,一名23歲汽車工程師去年7月拔完智齒後...
2024/01/29 15:48
22歲男鼻塞多年 竟夾出「老鼠屍味」紗布
一名22歲男子由於鼻塞且有黃鼻涕3年多,服用抗生素、...
2023/09/25 09:44
智齒長歪不拔!工程師靠1招止痛下場慘
一名年近30歲工程師左下智齒長歪,但因工作忙碌沒有盡...
2023/09/10 17:27
開刀傷到神經 8點檔男星淚:可能不會好
40歲男星張雁名於去年娶回小12歲圈外女友,在今年買...
2023/09/06 22:42
男星拔智齒腫成國字臉 曝:疑似傷了神經
現年40歲男星張雁名於去年娶回小12歲圈外女友,在今...
2023/09/01 13:42
他拿智齒和雞骨製作舍利子 實驗結果曝光
佛光山開山宗長星雲大師圓寂,13日荼毘圓滿,隔日佛光...
2023/02/16 10:30
家長注意!小孩臉腫竟是橫紋肌肉瘤惹禍
家有小孩的家長要注意!小凱因右臉頰腫脹,原以為是牙齦...
2023/01/12 12:30
金像獎影帝泡髒臭水10天 與蟲共存不忍了
香港犯罪動作電影《智齒》由香港知名導演鄭保瑞執導,香...
2022/12/21 08:00
林家棟對戲來真的 日男星慘被打裂鼻骨
電影《智齒》今年在香港和台灣影壇大放異彩,林家棟和劉...
2022/12/15 18:54
李淳為「李小龍」密訓3年 他洩有跡可循
32歲李淳憑藉香港電影《智齒》菜鳥警察「任凱」一角獲...
2022/12/15 18:11
李淳拍《李小龍傳》傳將回美 公司回應了
李淳近來喜訊不斷,先是升格人夫,之後又以《智齒》入圍...
2022/12/13 08:03
李淳連拍26小時累出病 雨淋9天高燒不退
香港犯罪動作電影《智齒》由香港知名導演鄭保瑞執導,香...
2022/12/06 18:02
拔完智齒好痛!醫授4方法「舒緩疼痛」
智齒生長狀況因人而異,有些人智齒長出時,會出現反覆發...
2022/12/03 08:00
影后泡廚餘廢水兩週 慘遭排洩物噴射崩潰
香港犯罪動作電影《智齒》由香港金像獎影帝林家棟、李淳...
2022/11/26 07:00
金馬第一獎揭曉 《一家子兒咕咕叫》開胡
第59屆金馬獎入圍酒會今(18)日舉行,會外賽第一個...
2022/11/18 20:35
最新圖輯
更多
第62屆金馬獎得獎後台
第62屆金馬獎紅毯
劉書宏專訪
袁澧林、陳孝萱專訪
第36屆金曲獎星光大道
第36屆金曲獎得獎圖輯
NMIXX林口體育館粉絲演唱會
KISS OF LIFE台北演唱會
林芯儀專訪
GYUBIN大巨蛋開球
今日頭條
1
宏國大選計票完成99% 總統控川普介選
2
今短暫回溫 首波冷氣團平地挑戰10℃↓
3
被控黑幫宴洩機密…刑大代理副隊長遭聲押
4
鄭麗文慘了?「內部不挺」聲量雪崩剩1成
5
仙塔律師突改口認罪 陳沂:人品真是不行
6
川普讓輝達賣H200晶片 陸專家:一廂情願
7
蔣萬安年輕族群民調慘輸王世堅 醫曝原因
8
澤倫斯基:10日向美交修訂版俄烏終戰提案
9
9縣市今停水「一早沒得用」 最長停9小時
10
美股多收低!道瓊下挫179點、費半跌0.04%
HOT焦點
更多
運動咖必備!sNug打造真正有感科技羊絨襪
北市打造全齡友善職場 推動中高齡就業
蔣萬安市長現身青山宮嗨唱 超夜點亮萬華
頻道推薦
直播✦活動
三立新聞網
為了提供更好的閱讀內容,我們使用相關網站技術來改善使用者體驗,也尊重用戶的隱私權,特別提出聲明。
了解最新隱私權聲明
知道了